
【2025最新】足弓塌陷與扁平足:成因、症狀、檢測、治療方式與最新醫學研究
什麼是足弓塌陷?與扁平足有何不同?
足弓是由韌帶、肌肉和骨骼構成的弧形結構,能承受體重並在行走或跑步時吸收衝擊。
…

【2025最新】拇趾外翻早期症狀圖解:怎麼判斷需不需要手術?
什麼是拇趾外翻?
拇趾外翻(Hallux Valgus)是指大拇趾向第二趾偏斜,同時第一蹠骨頭向內側突出,造成腳內側明顯的骨頭突起,俗稱「腳拇指變形」。…

【2025最新】微創踝關節鏡手術全攻略:恢復期、優缺點與成功案例
1. 微創踝關節鏡手術是什麼?
手術原理與構造
微創踝關節鏡(Ankle…

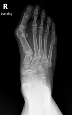
【2025最新】扁平足是什麼?成因、症狀、治療方式與醫學研究一次看懂
1. 扁平足是什麼?
足弓與扁平足的定義
足弓主要提供緩衝與分散壓力的功能,是維持站立與步行穩定的重要結構。扁平足(Flatfoot,或稱Pes…

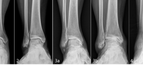
【2025最新】腳踝關節炎怎麼辦?人工關節手術與健保補助全解析
1. 腳踝關節炎是什麼?
腳踝關節的構造與作用
腳踝關節由脛骨、腓骨與距骨組成,承受全身重量並協助腳掌完成彎曲、伸展、內外翻等動作,是人體中活動度大、負荷極高的關節之一(Valderrabano…

【2025最新】拇指外翻還是外觀困擾?保守與手術治療全解析
1. 拇指外翻是什麼?
拇指外翻的構造與成因
拇指外翻(Hallux…

【2025最新】阿基里斯腱病變還是斷裂?預防、治療全解析
1. 阿基里斯腱是什麼?
阿基里斯腱的構造與作用
…